Smile Gallery

The image shows a person with a broad smile revealing teeth that appear to be discolored, possibly due to staining or decay, with a focus on the lower front teeth which are more noticeably affected.

Before

The image shows a person with a wide smile displaying straight white teeth and a clean mouth.

After

The image displays a close-up of a person s teeth with a focus on the lower front teeth, showcasing a dental procedure such as teeth whitening or cosmetic dentistry.

Before

The image shows a close-up view of a person s teeth with visible staining, particularly at the front.

After

The image displays a close-up of a person s face with a wide smile, showcasing a set of teeth with one tooth missing from the lower front row.

Before

The image shows a close-up of a person s smiling face with teeth, featuring a mustache and part of their chin.

After

The image features a close-up view of a person s teeth with a focus on the lower front teeth, which appear to be crooked and possibly discolored.

Before

The image shows a close-up view of a person s teeth with a focus on a bright white smile and a clean dental appearance.

After

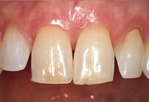
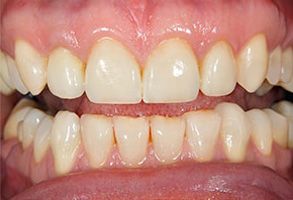
The image shows a close-up view of a person s teeth with visible yellowing and staining, suggesting poor oral hygiene or the need for dental care.

Before

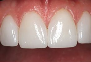
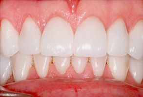
The image shows a close-up view of a person s teeth with a focus on their upper front teeth, which are white and appear to be well-maintained.

After

The image shows a close-up view of a person s teeth with an emphasis on dental care, likely for educational or promotional purposes.

Before

The image displays a close-up view of a person s teeth with a focus on a set of dentures, showcasing their white color and the natural appearance they are designed to mimic.

After

The image shows a close-up of a person s teeth with visible staining, particularly on the front teeth, which are prominently displayed against a white background.

Before

The image shows a close-up view of a person s teeth with a focus on their lower front teeth, which appear to be discolored or stained, possibly due to tobacco use.

After

Questions?

Office Hours

Monday
10:00 am - 6:00 pm
Tuesday
9:30 am - 7:00 pm
Wednesday
11:00 am - 7:00 pm
Thursday
10:00 am - 6:00 pm
Friday
9:00 am - 3:00 pm
Saturday
Closed
Sunday
Closed